[fmv_boton_busqueda]
Displasia de codo en caninos de Medellín, Colombia: estudio retrospectivo

Displasia de codo en caninos de Medellín, Colombia: estudio retrospectivo

RESUMEN El estudio tuvo como objetivo determinar la frecuencia de displasia de codo (DC) en caninos mediante la evaluación de radiografías realizadas en clínicas veterinarias de la ciudad de Medellín y su área metropolitana entre 2018 y 2020. Se utilizaron tablas de frecuencia y regresión logística simple con asociación entre variables con el cálculo de las proporciones de DC según sexo, edad y raza. Se analizaron 292 estudios radiográficos. Se encontró una mayor proporción de casos en machos (59%) que en hembras (41%), siendo el 58.6% mayor de 5 años. Las razas Golden Retriever, Labrador Retriever, Bulldog Inglés, Pug, Pitbull, Rottweiller y Bernés de la Montaña tuvieron la mayor presentación de DC en la población de estudio y además se evidenció asociación significativa entre estas razas y el desarrollo de DC. Se encontró una mayor proporción de machos afectados en comparación con las hembras. El presente estudio muestra una frecuencia elevada de la DC en algunas razas, siendo la incongruencia articular (IA) la lesión primaria predominante y la osteoartrosis (OA) la lesión secundaria asociada con mayor frecuencia. Palabras clave: perros; radiografía; artrosis; ortopedia; crecimiento; enfermedad articular.

Elbow dysplasia in canines from Medellín, Colombia: retrospective study

ABSTRACT

The study aimed to determine the frequency of elbow dysplasia (ED) in canines by evaluating radiographs taken in veterinary clinics in the city of Medellín and its Metropolitan area between 2018 and 2020. Frequency tables and simple logistic regression were used with association between variables with the calculation of ED proportions according to sex, age and breed. A total of 292 radiographic studies were analysed. A greater proportion of cases was found in males (59%) than in females (41%), with 58.6% being older than 5 years. The Golden Retriever, Labrador Retriever, English Bulldog, Pug, Pitbull, Rottweiler and Mountain Bernese breeds had the highest presentation of ED in the studied population and showed a significant association between these breeds and the development of ED. A greater proportion of affected males was found compared to females. The present study shows a high frequency of ED in some breeds, with articular incongruity (AI) being the predominant primary lesion and osteoarthrosis (OA) being the most frequently associated secondary lesion.

Keywords: dogs; radiography; arthrosis; orthopaedics; growth; joint disease

INTRODUCCIÓN

La displasia de codo (DC) afecta principalmente a perros de razas grandes y gigantes, y usualmente se encuentra relacionada con osteoartrosis. La mayoría de los casos se presentan entre los 6-12 meses y cursa con claudicaciones permanentes o intermitentes en los miembros torácicos (Michelsen, 2013).

Los machos se afectan en una mayor frecuencia que las hembras (Meyer-Lindenberg et al., 2006), reportándose una prevalencia del 17% en perros Labrador del Reino Unido (Woolliams et al., 2011) y del 70% en Bernés de la Montaña en los Países Bajos (Temwichitr et al., 2010). Asimismo, se reportan casos en razas condrodistróficas más pequeñas como el Daschund y el Bulldog Inglés y Francés (Mölsä et al., 2020).

Entre las lesiones primarias asociadas con esta enfermedad se encuentran la enfermedad del proceso coronoides medial (EPCM), el proceso ancóneo no unido (PANU), la osteocondrosis disecante (OCD) y la incongruencia articular (IA), pudiendo presentarse de manera individual o múltiple, existiendo una diversidad de hipótesis sobre la patogénesis de estas lesiones, reportándose un componente genético como respuesta a factores traumáticos, metabólicos y nutricionales(Michelsen,2013).Asimismo, se ha propuesto como etiología el crecimiento asincrónico del radio y ulna (Kunst et al., 2014).

El grado de displasia de codo fue determinado radiográficamente de acuerdo con los lineamientos establecidos por el International Elbow Working Group (IEWG), que ha clasificado la severidad de las lesiones con puntajes entre 0 y 3 (Lewis et al., 2011; Hazewinkel, 2018), tal como se muestra en el Cuadro 1.

1609 9117 rivep 36 01 e25977 gt1
Cuadro 1. Clasificación de la displasia de codo (DC) según la International Elbow Working Group (IEWG)

Fuente: Proceedings 33rd Annual Meeting of the IEWG (2018)

1 EPCM: Enfermedad del proceso coronoides medial; PANU: Proceso ancóneo no unido; OCD: Osteocondrosis disecante (OCD)

No se dispone de estudios sobre el estado de la DC en Medellín, Colombia que permitan desarrollar posibles estrategias de prevención o control. Ante esto, el propósito de este estudio fue determinar la frecuencia presentación de esta patología a partir de estudios radiológicos llevados a cabo en clínicas veterinarias de Medellín entre 2018 y 2020.

MATERIALES Y MÉTODOS

El presente estudio fue de tipo descriptivo retrospectivo con el fin de determinar la frecuencia de DC a partir de 292 estudios radiográficos realizados por una empresa itinerante de radiología a caninos entre agosto de 2018 a agosto de 2020 en centros veterinarios de la ciudad de Medellín y su área metropolitana.

El equipo utilizado para las tomas radiográficas consistió en un generador de rayos X Poskom© VET-20BT y un flat panel DRTECH© EVS 36443G. Las imágenes fueron almacenadas en formato JPEG (Joint Photographic Experts Group) y los datos del paciente estaban en documentos en formato PDF (Portable Document Format) que permitían realizar la búsqueda de datos dentro de los documentos. Para el estudio, se revisaron las imágenes de la base de datos de la empresa filtrando la búsqueda de miembros anteriores, incluyendo un solo miembro. Como criterios de inclusión se consideraron todos los estudios radiográficos de miembros anteriores que incluyeran la articulación del codo de caninos de cualquiera raza, edad o sexo; y que tuviesen como mínimo las vistas ortogonales del miembro a evaluar con una técnica radiográfica y posicionamiento adecuado para la evaluación de las estructuras articulares en el codo y que cumplieran con los estándares mínimos de la IEWG (International Elbow Working Group).

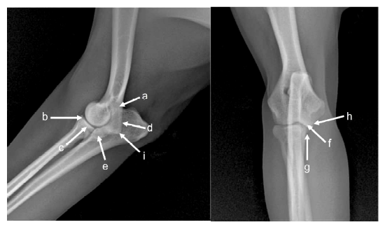
Las imágenes fueron evaluadas por el autor que cuenta con cinco años de experiencia en la interpretación de imágenes diagnósticas, siguiendo las recomendaciones de la IEWG para el diagnóstico de la DC y teniendo en cuenta los sitios de la localización de las lesiones para la graduación de la osteoartrosis (OA) en el codo (Hazewinkel 2018) (Figura 1).

1609 9117 rivep 36 01 e25977 gf1
Figura 1. Localización de lesiones de osteoartrosis (OA) de codo. a. Superficie proximal del proceso ancóneo. b. Zona craneal de la cabeza del radio. c. Borde craneal del proceso coronoides medial. d. Superficie caudal de la cresta condilar lateral. e. Esclerosis de la escotadura troclear, en la base del proceso coronoides. f. Sobre la superficie medial del epicóndilo. g. En el borde medial del proceso coronoides medial. h. Hendidura del hueso subcondral: lesión OCD. i. Borde distal de cóndilo humeral (Entesiopatía flexora primaria). (Hazewinkel, 2018). Tomado de: Inovet -Pequeñas especie animales https://inovet.co/
El análisis estadístico se realizó mediante tablas de frecuencia y una regresión logística simple con asociación entre variable con el cálculo de las proporciones de DC en la población estudiada, considerando las variables sexo, edad y raza. Asimismo, de acuerdo con el Artículo 11 de la Resolución N.° 8430 de 1993 de la República de Colombia, este proyecto de investigación se considera sin riesgo, dado que únicamente se utilizaron imágenes diagnósticas de una base de datos, previa autorización de la empresa que realiza los estudios. No se tuvo contacto con los animales, ni se requirieron nuevas intervenciones para el animal, ni hubo datos sobre los perros que permitieran el contacto con sus dueños. Los datos fueron protegidos mediante un código para su identificación RESULTADOS Se revisaron 325 estudios radiográficos de miembros anteriores, de los cuales 292 (89.9%) cumplieron con los criterios de inclusión del estudio y 33 (10.1%) fueron excluidos. Las imágenes correspondieron a 173 machos (59%) y 119 hembras (41%). Según el grupo etario, 55 casos correspondieron a perros menores de 1 año, 66 casos a perros entre 1 y 4 años, y 171 casos a perros de cinco o más años. La frecuencia en perros adultos fue significativamente mayor a los otros dos grupos etarios. La distribución por raza y grado de DC se presenta en el Cuadro 2. Las razas Bulldog Inglés, Pitbull, Labrador y Golden Retriever, así como el grupo racial mestizo presentaron la mayor frecuencia de displasia de codo y en diferentes grados. En las figuras 2 y 3 se presentan la distribución por sexo y rango etario del grado de DC, evidenciando una mayor proporción en machos que en hembras en los grados 1 y 3 (p<0.05), así como en perros mayores de 5 años con relación a los otros grupos etarios, siendo más evidente en el grado 3.
1609 9117 rivep 36 01 e25977 gt2
Cuadro 2. Distribución del grado displasia de codo según la raza de los perros afectados (Medellín, Colombia, 2018-2020)
1609 9117 rivep 36 01 e25977 gf2
Figura 2. Distribución del grado de displasia de codo en perros de Medellín, Colombia, de acuerdo con el sexo
1609 9117 rivep 36 01 e25977 gf3
Figura 3. Distribución del grado de displasia de codo en perros de Medellín, Colombia, de acuerdo con el grupo etario
En la frecuencia de presentación de lesiones primarias y secundarias, la EPCM siempre se presentó acompañada de otras lesiones primarias, siendo la IA la lesión primaria más frecuente en el presente estudio. La combinación de las lesiones secundarias tuvo un mayor impacto y número de casos en comparación con las lesiones secundarias en solitario. Al realizar regresión logística simple para encontrar asociación entre las variables no se evidenciaron asociaciones significativas entre la ocurrencia de la DC y sexo (p=0.45) y rango etario (p=0.271); sin embargo, se encontró una asociación entre algunas razas y la ocurrencia de DC (Cuadro 3).
1609 9117 rivep 36 01 e25977 gt3
Cuadro 3. Asociación entre ocurrencia de displasia de codo (DC) y raza de los perros (Medellín, Colombia, 2018-2020)
Con respecto al escalonamiento radioulnar no se evidenció asociación con el sexo (p=0.268) ni con el rango etario (p=0.767), pero se evidenció un probable factor protector en individuos de raza Schnauzer y un OR de 3 en el Labrador Retriever (Cuadro 4). En cuanto la presentación de osteoartritis existe asociación con la edad teniendo mayor incidencia los perros mayores a 5 años (Cuadro 5) y con las razas Pug, Rottweiller, Labrador Retriever y Bulldog Inglés (Cuadro 6), mientras que no existe asociación con el sexo (p=0.792).
1609 9117 rivep 36 01 e25977 gt4
Cuadro 4. Asociación entre ocurrencia de escalonamiento entre radio y ulna y la raza de perros (Medellín, Colombia, 2018-2020)
1609 9117 rivep 36 01 e25977 gt5
Cuadro 5. Asociación entre el rango etario y la presencia de osteoartritis en perros (Medellín, Colombia, 2018-2020)
1609 9117 rivep 36 01 e25977 gt6
uadro 6. Asociación entre la raza y la presencia de osteoartritis en perros de Medellín, Colombia (2018-2020)

DISCUSIÓN

La DC en caninos genera claudicación recurrente en miembros anteriores con alta incidencia dentro de las patologías ortopédicas que causan claudicaciones (Woolliams et al., 2011; Hazewinkel, 2018; O’Neill et al., 2020; James et al., 2020); sin embargo, no se tenía conocimiento de la prevalencia de esta enfermedad en Medellín ni en el país. En el presente estudió se demostró que la DC es una patología presente y con una frecuencia significativa de los signos radiológicos asociados a las lesiones primarias y secundarias de la enfermedad. Los resultados permiten establecer una frecuencia de presentación de signos radiográficos asociados a DC del 46.9% de la población evaluada (292 estudios radiográficos).

Se evidenció que algunas razas muestran mayor presentación de signos radiológicos asociados a DC; de estas se destacan Golden Retriever y Labrador Retriever, que en estudios previos presentaron resultados similares (Michelsen, 2013). En estas razas se ha comprobado una alta heredabilidad con el desarrollo de la DC (Mäki et al., 2004; Woolliams et al., 2011; Soo et al., 2018). En el presente estudio, otras razas Pastor Alemán, Bernés de la Montaña, Pitbull, Bulldog Inglés y Rottweilers, además de los mestizos, mostraron una alta presentación de signos radiológicos asociados a DC. Esto ha sido reportado por Nemanic et al., 2016; Soo et al., 2018; O’Neill et al., 2020).

La predisposición de estas razas se da por el tamaño y rápido crecimiento de los individuos. Adicionalmente, hay factores de manejo como la alimentación y ejercicio durante la etapa de crecimiento que podría afectar el desarrollo de lesiones primarias de la DC y posterior osteoartrosis (Alves-Pimenta et al., 2013). El caso del grupo racial de los mestizos se encuentra sobrerrepresentado debido a que estos animales representan el 20.2% de la población. Por otro lado, la limitación principal para la interpretación adecuada de los resultados con el grupo mestizo se debe a que se desconoce la talla, conformación corporal y peso de los individuos.

La IA y la OA fueron las lesiones secundarias con mayor frecuencia evidenciada en el presente estudio, siendo el Bulldog Inglés, Rottweiler, Labrador y Golden Retriever las razas con mayor representación en estas lesiones, además de los mestizos. Se ha demostrado que perros Labrador Retriever, Rottweiler, Golden Retriever y Pastor Alemán presentan un mayor riesgo de desarrollar OA comparados con los mestizos (Anderson et al., 2018).

La mayor proporción de machos con lesiones radiológicas asociadas a DC es congruente con el reporte en perros Pastor Alemán y Rottweiler reportado por Meyer-Lindenberg et al. (2006). Asimismo, se reporta que los perros machos presentaron la mayor frecuencia de osteoartrosis de codo (Beuing et al., 2000), especialmente en razas como Labrador y Golden Retriever (Malm et al., 2008). Se ha propuesto que el mayor desarrollo óseo, niveles hormonales, velocidad de crecimiento y ganancia de peso en machos podrían explicar en parte las diferencias sexuales en la incidencia de DC y OA (Lavrijsen et al., 2012). Asimismo, Anderson et al. (2018) demostraron que los machos tenían un Odds ratio de 1.2 con relación a las hembras en la presentación de osteoartrosis; sin embargo, en el presente estudio no se encontraron diferencias significativas que indicaran una a mayor predisposición de los machos con respecto a las hembras.

Los machos presentaron mayor frecuencia de DC en grados 1 (54%) y 3 (65%), predominio en machos en la presentación de EPCM que ha sido reportado por varios autores (Demko y McLaughlin 2005; Meyer-Lindenberg et al., 2006; Samoy et al., 2012; O’Neill et al., 2020). En el estudio de O´Neill et al. (2020) se encontró un Odds ratio de 1.47 de los machos sobre las hembras para desarrollar EPCM y posterior enfermedad degenerativa articular; sin embargo, en el presente estudio no se encontró una diferencia significativa en la presentación de la EPCM entre machos y hembras, en concordancia con Samoy et al. (2012). La predisposición de los machos podría deberse a una herencia de genes dominantes o factores asociados como castración, rutinas de ejercicio, tasa de crecimiento y el peso durante el crecimiento (Alves-Pimenta et al., 2019).

Se ha descrito previamente que la probabilidad de presentación de osteoartritis (Anderson et al., 2018) y la presentación de signos radiográficos de OA aumenta con la edad (Mäki et al., 2004; Malm et al., 2008; Lavrijsen et al., 2014). La frecuencia de enfermedad en el presente estudio aumentó con la edad siendo los individuos mayores de 5 años los más representativos en la presentación de signos radiológicos de DC (61%), con una probabilidad 9.6 mayor para la presentación de osteoartritis que los perros menores a 1 año. Sin embargo, Huck et al. (2009) encontraron un aumento de los signos radiográficos de OA sin signos de DC, lo que puede sugerir procesos fisiopatológicos diferentes que conllevan a lesiones articulares y el curso natural de la DC.

La radiografía es el método de diagnóstico por imagen más empleado para el diagnóstico de la DC en caninos. La recomendación para tener diagnósticos más precisos está dada por la IEWG, quienes desarrollaron un protocolo radiográfico para la búsqueda de esta patología mediante la realización de cuatro proyecciones y partir de esto clasificar la patología en 4 grados (0, 1, 2, 3) (Hazewinkel, 2018). En el presente estudio y como tradicionalmente se realiza por parte de los médicos veterinarios, se evaluaron dos proyecciones ortogonales que sería el mínimo de proyecciones necesarias para el diagnóstico de DC (Heng, 2015), representando una limitación para el diagnóstico de algunas lesiones primarias como el PANU y la EPCM. Se estima que los casos donde no se realicen las CUATRO proyecciones es debido al desconocimiento de los usuarios del protocolo radiográfico de la IEWG para el diagnóstico de la DC o el desconocimiento de la patología, de allí que esta situación podría haber configurado un sesgo al momento del análisis de los datos.

CONCLUSIONES

Se muestra una frecuencia elevada de la displasia del codo en algunas razas como Bulldog Inglés, Labrador Retriever, Golden Retriever y mestizos, siendo la incongruencia articular (IA) la lesión primaria predominante y las subsecuentes osteoartrosis (OA) como la lesión secundaria asociada con mayor frecuencia.

Agradecimientos

Los autores desean agradecer a Inovet Pequeñas especies animales y al Dr. Mauricio Ramírez por permitir el uso de la base de datos y las imágenes para el presente estudio.

LITERATURA CITADA

1. Alves-Pimenta S, Colaco B, Silvestre AM, Ginja MM. 2013. Prevalence and breeding values of elbow dysplasia in the Estrela mountain dog. Vet Med (Praha) 58: 484-490. doi: 10.17221/7033VETMED. [ Links ]

2. Alves-Pimenta S, Ginja MM, Colaço B. 2019. Role of elbow incongruity in canine elbow dysplasia: advances in diagnostics and biomechanics. Vet Comp Orthop Traumatol 32: 87-96. doi: 10.1055/s-0038-1677513. [ Links ]

3. Anderson KL, O’Neill DG, Brodbelt DC, Church DB, Meeson RL, Sargan D, Summers JF, et al. 2018. Prevalence, duration and risk factors for appendicular osteoarthritis in a UK dog population under primary veterinary care. Sci Rep 8(1): 5641. doi: 10.1038/s41598-018-23940-z. [ Links ]

4. Beuing R, Mues CH, Tellhelm B, Erhardt G. 2000. Prevalence and inheritance of canine elbow dysplasia in German Rottweiler. J Anim Breed Genet 117: 375-383. doi: 10.1046/j.1439-0388.2000.00267.x. [ Links ]

5. Demko J, McLaughlin R. 2005. Developmental orthopedic disease. Vet Clin North Am Small Anim Pract 35: 1111-1135. doi: 10.1016/j.cvsm.2005.05.002. [ Links ]

6. Hazewinkel HAW. 2018. Screening for elbow dysplasia, grading according to the IEWG. In: Proc 33rd Annu Meet Int Elb Work Gr. Singapore. [ Links ]

7. Heng HG. 2015. Radiograph for FCP, OCD, UAP and elbow incongruity, additional value of extra views or other imaging modalities. In: Proc 29th Annu Meet Int Elb Work Gr. Bangkok, Thailand. [ Links ]

8. Huck J, Biery D, Lawler D, Gregor T, Runge J, Evans R, Kealy R, Smith G. 2009. A longitudinal study of the influence of lifetime food restriction on development of osteoarthritis in the canine elbow. Vet Surg 38: 192-198. doi: 10.1111/j.1532-950X.2008.00487.x. [ Links ]

9. James HK, McDonnell F, Lewis TW. 2020. Effectiveness of canine hip dysplasia and elbow dysplasia improvement programs in six UK pedigree breeds. Front Vet Sci 6. doi: 10.3389/fvets.2019.00490. [ Links ]

10. Kunst CM, Pease AP, Nelson NC, Habing G, Ballegeer EA. 2014. Computed tomographic identification of dysplasia and progression of osteoarthritis in dog elbows previously assigned ofa grades 0 and 1. Vet Radiol Ultrasound 55: 511-520. doi: 10.1111/vru.12171. [ Links ]

11. Lavrijsen ICM, Heuven HCM, Meij BP, Theyse LFH, Nap RC, Leegwater PAJ, Hazewinkel HAW. 2014. Prevalence and co-occurrence of hip dysplasia and elbow dysplasia in Dutch pure-bred dogs. Prev Vet Med 114: 114-122. doi: 10.1016/j.prevetmed.2014.02.001. [ Links ]

12. Lavrijsen ICM, Heuven HCM, Voorhout G, Meij BP, Theyse LFH, Leegwater PAJ, Hazewinkel HAW. 2012. Phenotypic and genetic evaluation of elbow dysplasia in Dutch Labrador Retrievers, Golden Retrievers, and Bernese Mountain dogs. Vet J 193: 486-492. doi: 10.1016/j.tvjl.2012.01.001. [ Links ]

13. Lewis TW, Ilska JJ, Blott SC, Woolliams JA. 2011. Genetic evaluation of elbow scores and the relationship with hip scores in UK Labrador retrievers. Vet J 189: 227-233. doi: 10.1016/j.tvjl.2011.06.024. [ Links ]

14. Mäki K, Janss LLG, Groen AF, Liinamo AE, Ojala M. 2004. An indication of major genes affecting hip and elbow dysplasia in four Finnish dog populations. Heredity 92: 402-408. doi: 10.1038/sj.hdy.6800434. [ Links ]

15. Malm S, Fikse WF, Danell B, Strandberg E. 2008. Genetic variation and genetic trends in hip and elbow dysplasia in Swedish Rottweiler and Bernese Mountain dog. J Anim Breed Genet 125: 403-412. doi: 10.1111/j.1439-0388.2008.00725.x. [ Links ]

16. Meyer-Lindenberg A, Fehr M, Nolte I. 2006. Co-existence of ununited anconeal process and fragmented medial coronoid process of the ulna in the dog. J Small Anim Pract 47: 61-65. doi: 10.1111/j.1748-5827.2006.00051.x. [ Links ]

17. Michelsen J. 2013. Canine elbow dysplasia: Aetiopathogenesis and current treatment recommendations. Vet J 196: 12-19. doi: 10.1016/j.tvjl.2012.11.009. [ Links ]

18. Mölsä SH, Hyytiäinen HK, Morelius KM, Palmu MK, Pesonen TS, Lappalainen AK. 2020. Radiographic findings have an association with weight bearing and locomotion in English bulldogs. Acta Vet Scand 62: 19. doi: 10.1186/s13028-020-00517-3. [ Links ]

19. Nemanic S, Nixon BK, Baltzer W. 2016. Analysis of risk factors for elbow dysplasia in giant breed dogs. Vet Comp Orthop Traumatol 29: 369-377. doi: 10.3415/VCOT-15-05-0175. [ Links ]

20. O’Neill DG, Brodbelt DC, Hodge R, Church DB, Meeson RL. 2020. Epidemiology and clinical management of elbow joint disease in dogs under primary veterinary care in the UK. Canine Med Genet 7: 1. doi: 10.1186/s40575-020-0080-5. [ Links ]

21. Samoy Y, Gielen I, Van Caelenberg A, van Bree H, Duchateau L, Van Ryssen B. 2012. Computed tomography findings in 32 joints affected with severe elbow incongruity and fragmented medial coronoid process. Vet Surg 41: 486-494. doi: 10.1111/j.1532-950X.2011.00950.x. [ Links ]

22. Soo M, Lopez-Villalobos N, Worth AJ. 2018. Heritabilities and genetic trends for elbow score as recorded by the New Zealand Veterinary Association Elbow Dysplasia Scheme (1992-2013) in four breeds of dog. N Z Vet J 66: 154-161. doi: 10.1080/00480169.2018.1440652. [ Links ]

23. Temwichitr J, Leegwater PAJ, Hazewinkel HAW. 2010. Fragmented coronoid process in the dog: A heritable disease. Vet J 185: 123-129. doi: 10.1016/j.tvjl.2009.06.022. [ Links ]

24. Woolliams JA, Lewis TW, Blott SC. 2011. Canine hip and elbow dysplasia in UK Labrador retrievers. Vet J 189: 169-176. doi: 10.1016/j.tvjl.2011.06.015. [ Links ]

Recibido: 10 de Agosto de 2023; Aprobado: 08 de Diciembre de 2024

* Autor correspondiente: Camilo Forero-Parra; camilo.forero@udea.edu.co